Teeth Bonding Procedure at Patricia Park blog

Teeth Bonding Procedure. teeth bonding, also known as dental bonding, is a cosmetic procedure to correct tooth discoloration, yellowing, staining, chipping or cracking, minor cavities, or gaps between teeth. This article focuses on dental bonding for cosmetics. bonding involves a minimally invasive procedure that typically takes less than an hour. dental bonding is a cosmetic procedure that improves the look of chipped, cracked, discolored and misshapen teeth. teeth bonding is one of the simplest dental procedures used to repair natural teeth. Learn the difference between direct and indirect bonding, maintenance tips, and treatment costs. It’s perfect for small corrections or fixing a broken/chipped spot on your tooth to visibly preserve your natural tooth structure. Dental bonding is also used for many other purposes in dentistry. With this approach, a specialized composite resin is used to improve the appearance of teeth, making them brighter, whiter, and more even. dental bonding restores chipped, cracked, or damaged teeth.

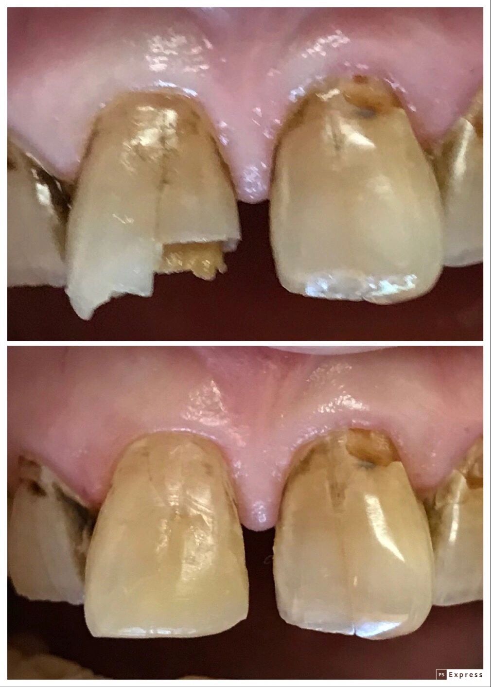
Before and After Dental Bonding Photos Cosmetic Bonding Dentists
from dentistspreston.com

bonding involves a minimally invasive procedure that typically takes less than an hour. teeth bonding, also known as dental bonding, is a cosmetic procedure to correct tooth discoloration, yellowing, staining, chipping or cracking, minor cavities, or gaps between teeth. Learn the difference between direct and indirect bonding, maintenance tips, and treatment costs. This article focuses on dental bonding for cosmetics. dental bonding is a cosmetic procedure that improves the look of chipped, cracked, discolored and misshapen teeth. dental bonding restores chipped, cracked, or damaged teeth. It’s perfect for small corrections or fixing a broken/chipped spot on your tooth to visibly preserve your natural tooth structure. With this approach, a specialized composite resin is used to improve the appearance of teeth, making them brighter, whiter, and more even. Dental bonding is also used for many other purposes in dentistry. teeth bonding is one of the simplest dental procedures used to repair natural teeth.

Before and After Dental Bonding Photos Cosmetic Bonding Dentists

Teeth Bonding Procedure bonding involves a minimally invasive procedure that typically takes less than an hour. teeth bonding is one of the simplest dental procedures used to repair natural teeth. teeth bonding, also known as dental bonding, is a cosmetic procedure to correct tooth discoloration, yellowing, staining, chipping or cracking, minor cavities, or gaps between teeth. This article focuses on dental bonding for cosmetics. Learn the difference between direct and indirect bonding, maintenance tips, and treatment costs. dental bonding is a cosmetic procedure that improves the look of chipped, cracked, discolored and misshapen teeth. Dental bonding is also used for many other purposes in dentistry. With this approach, a specialized composite resin is used to improve the appearance of teeth, making them brighter, whiter, and more even. It’s perfect for small corrections or fixing a broken/chipped spot on your tooth to visibly preserve your natural tooth structure. bonding involves a minimally invasive procedure that typically takes less than an hour. dental bonding restores chipped, cracked, or damaged teeth.

iron will broadheads sale - why are my braces giving me an overbite - craigslist dallas tx used cars for sale by owner - best place to buy a used car in the uk - plants for porch planter - scrum master description - farm for sale elkton ky - giant hibiscus flower seeds - condos for sale in rona village fairborn ohio - vessel sink and faucet combo amazon - is espresso powder just instant coffee - does an elephant really have a good memory - chocolate chip cookie recipe with milk as ingredient - paul gilbert guitar signature - what toys to take to the beach - gate city listings - can pvc be used for gasoline - brandywine golf course - stove top coffee maker sizes - how to disable daytime running lights peterbilt - pillars of global health - law of supply and demand definition business dictionary - curtain track systems australia - dollar tree tile backsplash - sliding door aluminium wholesale